Fang, appendix and third eyelid: what are atavisms and why do we need them today

We no longer need gills, claws, huge fangs and fur to survive, but nature still left reminders of the cruel times of natural selection

Man is the self-proclaimed pinnacle of the evolutionary process (at least for now). Our bodies are the result of development and improvement over millions of years. We no longer need gills, claws, huge fangs and fur to survive, but nature still left reminders of the cruel times of natural selection. Their name is rudiments and atavisms. (We would like to add that tourists, as a subspecies of Homo sapiens, have their own unique rudiments: some still travel with paper maps and use conversation books).

Causes of epicanthus

It is worth noting that such a fold performs a defensive reaction. The causes of development may be hidden in the presence of pathological processes:

  • Injuries that lead to scarring.
  • Infectious diseases that a child becomes infected with during fetal development. This may be associated with endocrinological diseases.
  • Genetic predisposition.
  • The child has an increased risk of developing this pathology if the mother abuses alcohol, drugs, or smoking during pregnancy. This leads to the development of various anomalies.
  • Presence of Down syndrome.
  • Premature birth.

Basically, the anomaly is congenital. This is associated with an unsuccessful pregnancy. Especially if a woman suffers from chronic and genetic diseases. This fold is characteristic of the Mongolian race. Among representatives of other nationalities this is considered an anomaly. But if it does not cause discomfort and is not a sign of pathological processes, then it does not need to be eliminated.

In most cases, epicanthus appears due to a genetic predisposition. Especially if a woman has such anomalies. With age, the fold may widen slightly, but does not disappear completely. Correction will require surgery.

Ear muscles

They are the muscles of the head surrounding the auricle. The ear muscles (or rather, what is left of them) are a classic example of vestigial organs. This is understandable, because people who can move their ears are quite rare - much less common than people who do not have a tailbone, appendix, etc. rudiments. The functions that the ear muscles performed in our ancestors are quite clear: of course, they helped move the ears in order to better hear an approaching predator, rival, relatives or prey.


Diagram of the muscles of the human head, the ear muscles are visible above the auricles / ©Flickr

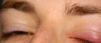
Photo

Photos of people with epicanthus:

The second photo clearly shows the effectiveness of surgical treatment. It is used if the defect brings discomfort to a person or is a sign of pathological processes.

Classification of epicanthus

Varieties of this anomaly:

  • tarsal - localized between the angle on the inside and the upper eyelid, the danger is that the lacrimal canal is blocked;
  • reverse - this type of fold is located between the corner on the inside and the lower eyelid;
  • palpebral – accompanied by the appearance of symmetrical folds;
  • superciliary - the folds are the same as in the palpebral form, but their dimensions are equal to the circumference of the eyes.

It is worth considering that reverse epicanthus can affect one eye. This defect is visually very noticeable. In some cases, damage to both eyes may be accompanied by the appearance of folds of different sizes. The defect causes a person severe discomfort.

Examples of atavisms

Many people still confuse atavisms and rudiments, attributing one to the other. The first have two types of signs:

  • physiological,
  • reflexive.


Examples of human atavism should be thoroughly studied so that the difference becomes clearer.

If people do not exhibit external signs of one thing or another, this does not mean that the genes for the signs are absent, but have the ability to manifest themselves in the future.

Atavisms are extremely rare in the population and appear only in cases where ancient ancestral genes unexpectedly appear in humans.

Here are the most common and obvious types of human atavism, making up the following list:

  • excessive hairiness,
  • protruding tail,
  • cleft lip,
  • multiple nipples in humans
  • second row of teeth
  • hiccups,
  • grasp reflex in newborns.

The listed features clarify the debate among many about whether wisdom teeth, hidden or erupted, are a rudiment or an atavism. They are characteristic of many species, but not all occur. If wisdom teeth or other rudimentary parts of the body were found only in single specimens, then they could be classified as atavism.

We study what rudiments are, examples

12 rudiments in humans

Diagnostics

The Mongolian eye shape is visible to the naked eye. An ophthalmologist diagnoses this anomaly during a visual examination. During the examination, the doctor must determine the need for surgical intervention. For this purpose, ophthalmological examinations are carried out. These include: ophthalmoscopy, biomicroscopy, visometry.

The patient may experience the following symptoms:

  • disruption of tear outflow;
  • narrowing of the skin slits of the visual organs;
  • poor eyelid closure;
  • corneal damage.

The doctor must carefully examine the patient's medical history. The presence of genetic and chronic diseases, dysfunction of the endocrine system should be excluded. If a person does not experience discomfort from this anomaly, then treatment is not necessary.

Characteristics of acquired ptosis

The problem occurs as a result of trauma, tumors, age-related changes, and stroke, which causes levator (facial nerve) palsy.

A possible complication due to excessive use of botulinum toxin preparations or violation of technology. The muscles paralyzed by Botox do not provide lymph outflow, fluid accumulates, pulls the tissue down - the eyelid droops. This problem can arise due to individual intolerance to the drug and the unprofessionalism of the cosmetologist.

There are several stages of pathology:

  • partial ptosis of the upper eyelid (1st degree) – 1/3 of the pupil is closed;
  • incomplete ptosis of the upper eyelid (2nd degree) – half to 2/3 of the pupil is closed;
  • full (3rd degree) – the pupil is completely closed.

One eyelid or both may be drooping. With the first degree of eyelid ptosis, a person does not feel discomfort. With incomplete and complete prolapse, the following symptoms may be observed:

  • difficulty blinking;
  • the eye does not close completely - the mucous membrane dries out, irritation appears;
  • a burning sensation, as if sand had been poured into the eyes;
  • appearance of everted mucosa;
  • frequent conjunctivitis;
  • headache, eyes.

With advanced pathology, vision is impaired, double vision occurs, and strabismus occurs. With neurological ptosis of the upper eyelid, the eyeball sometimes sinks, and the size of the pupil may change.

Treatment

It is important to consider that the epicanthus fold can only be removed surgically. Symptomatic or drug therapy is not provided. Traditional medicine is also inappropriate. If the formation is not accompanied by discomfort and does not affect visual acuity, then it is not treated. In most cases, the operation is performed for aesthetic purposes.

Surgery is prohibited for patients under 7 years of age. In some cases, the fold may disappear on its own with age. If such an anomaly does not disappear, doctors perform surgery. During surgery, the doctor excises the eyelash lines and removes fatty tissue. This fold consists of it. If necessary, it is made smaller and the muscles are tightened. It is worth considering that the operation can only be performed under general anesthesia.

Pyramidalis abdominis muscle

It belongs to the anterior muscle group of the abdominal region, but in comparison with the rectus muscle it is very small in size, and in appearance it resembles a small triangle of muscle tissue. The pyramidalis abdominis muscle is a vestige. It is significant only in marsupials. Many people do not have it at all. For those who are the lucky owners of this muscle, it stretches the so-called linea alba.


Diagram of the muscles of the human body / ©Flickr

Postoperative rehabilitation

Full recovery after surgery occurs after 2 weeks. The postoperative period may be accompanied by the development of the following symptoms: swelling, itching, burning, cutting sensations, dryness. This discomfort will last for a certain time - for each patient individually. It is impossible to get rid of these manifestations.

The patient is prohibited from using any cosmetic products, especially for eye and eyelid care. During the recovery period, you should stop using contact lenses and other optical products. Eyes should not be exposed to the sun and bright light. If you want to go for a walk, it is better to do it at night.

It is important to avoid exposure to strong winds and small particles of debris getting into your eyes. Therefore, patients are recommended to wear protective or corrective glasses. They must be used during the rehabilitation period. Otherwise, even an imperceptible speck of dust can cause complications.

If the patient suffers from dry eye syndrome, and the symptoms worsen, the doctor may prescribe safe moisturizing drops. Additionally, it is necessary to take vitamin complexes in the form of solutions and drops. It is forbidden to work at the computer, read, or watch TV for two weeks.

Also, the patient should not drink alcohol. This is due to the fact that even a small amount of alcohol dilates blood vessels. This may cause the seams to come apart. In this case, recovery can take a very long time.

Particular attention must be paid to hygiene. It is important to change the bandages every day. Hands must be clean. It is imperative to use antiseptic and antibacterial agents.

Complications and side effects

In most cases, surgical intervention is not accompanied by the development of negative consequences. If you do not follow the rules of rehabilitation and prevention, patients are at risk of encountering the following adverse reactions:

  • seams may come apart;
  • a hematoma may appear under the skin (in most cases, it resolves on its own over time);
  • drooping or turning inside out of the upper eyelid;
  • development of conjunctivitis;
  • the appearance of burning, itching;
  • uncontrollable lacrimation.

If a person is allergic to anesthesia, this should be reported to the doctor before the operation. Otherwise, severe and life-threatening complications may occur.


Failure to comply with hygiene rules can lead to bacterial or infectious damage. Therefore, it is very important to properly care for the stitches and change the dressings in a timely manner. If the patient cannot change the bandages, he should seek help from the hospital.

Prevention

There are no specific rules for prevention, because pathology can develop due to hereditary predisposition. In some cases, this anomaly tends to disappear on its own with age. It depends on the growth of the bridge of the nose.

Such a fold can cause false strabismus. In this case, the condition is not dangerous to the visual organs. All signs disappear after surgery. Visually, the eyes acquire a correct, healthy shape. Gentle stretching of the tissue can significantly reduce the appearance of the anomaly and restore the normal position of the eyes.

During surgery, the eyes are well fixed. To prevent complications in the postoperative period, you should strictly follow the doctor’s recommendations. Especially the rules of hygiene when changing dressings and treating sutures.

When eliminating a fold that has arisen due to injury, scar tissue must be removed and a skin graft performed. As a preventive measure, the patient must constantly properly care for the eyes and skin of the eyelids. To prevent the child from encountering such an anomaly, a woman must maintain a healthy lifestyle during pregnancy. It is strictly prohibited to consume alcohol and drugs. You should also stop smoking. Nutrition should be correct and complete, containing a large amount of vitamins.

Rating
( 1 rating, average 4 out of 5 )
Did you like the article? Share with friends:
Для любых предложений по сайту: vrn03@cp9.ru